Ecografia Cardiaca

Eco Cardio Color Doppler - Elettrocardiogramma

Allo Studio di Radiologia G.V. De Luca, offriamo esami di ecografia cardiaca (ecocardiogramma) di alta qualità, condotti con la massima professionalità e attenzione.

Grazie alla nostra avanzata tecnologia di imaging, siamo in grado di fornire una valutazione dettagliata della salute del cuore dei nostri pazienti.

L’ecocardiogramma è un esame fondamentale per la diagnosi e il monitoraggio delle malattie cardiache, eseguito da un team di specialisti altamente qualificati e dedicati alla cura del paziente.

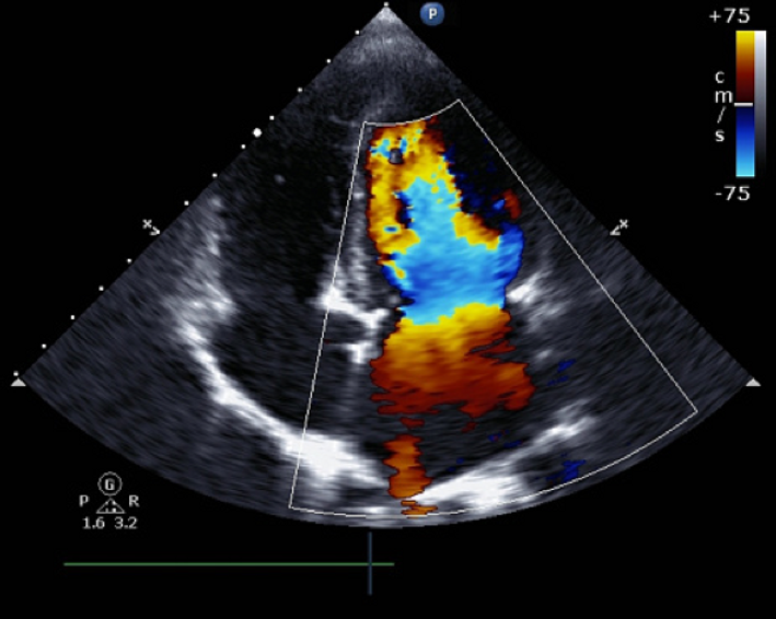
Cos’è l’Ecografia Cardiaca?

L’ecografia cardiaca, o ecocardiogramma, è un esame non invasivo che utilizza le onde sonore per creare immagini dettagliate del cuore. Questo permette ai medici di osservare la struttura e il funzionamento del cuore, inclusi le camere, le valvole e le pareti cardiache, così come il flusso del sangue attraverso il cuore.

È un esame cruciale per identificare patologie cardiache, anomalie strutturali, problemi alle valvole e altre condizioni cardiache.

L’Importanza della Prevenzione

La prevenzione è fondamentale quando si parla di salute cardiaca. L’ecocardiogramma gioca un ruolo vitale nel rilevare precocemente potenziali problemi cardiaci, permettendo interventi tempestivi che possono salvare vite o migliorare significativamente la qualità della vita dei pazienti. Questo esame è particolarmente utile per monitorare l’evoluzione di malattie cardiache note, valutare l’efficacia dei trattamenti e guidare le decisioni cliniche riguardo a interventi chirurgici o altre terapie.

Contatta lo Studio

Se hai bisogno di un ecocardiogramma o desideri ulteriori informazioni sui servizi cardiologici offerti dal nostro studio, non esitare a contattarci.

Il team dello Studio di Radiologia G.V. De Luca è pronto a fornirti tutte le informazioni necessarie e ad assisterti nella prenotazione del tuo esame.

Puoi prenotare la tua visita al numero +39 3207528445 o tramite la pagina contatti del nostro sito web.

Affida la cura del tuo cuore a professionisti esperti e tecnologie all’avanguardia.

Studio di Radiologia DG, Camposano (NA)
Panoramica privacy

Utilizziamo i cookie per personalizzare i contenuti, fornire funzionalità dei social media e per analizzare il nostro traffico. Cliccando su "Accetta" acconsenti al loro utilizzo.